PARERE CNSA - VALUTAZIONE DELL’ESPOSIZIONE DEL CONSUMATORE AL TOXOPLASMA GONDII ATTRAVERSO I PRODOTTI ITTICI
PARERE CNSA - VALUTAZIONE DELL’ESPOSIZIONE DEL CONSUMATORE AL TOXOPLASMA GONDII ATTRAVERSO I PRODOTTI ITTICI

Il Ministero della Salute ha pubblicato il Parere del COMITATO NAZIONALE PER LA SICUREZZA ALIMENTARE - Valutazione dell’esposizione del consumatore al Toxoplasma gondii attraverso i prodotti ittici.
La Sezione auspica un rafforzamento della collaborazione tra medici chirurghi e medici veterinari, tesa ad individuare i fattori maggiormente rilevanti per l’instaurarsi dell’infezione nell’uomo, e la definizione di una strategia di controlli specifici per la toxoplasmosi di origine animale o alimentare a livello nazionale ed europeo.
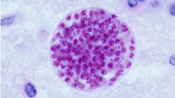
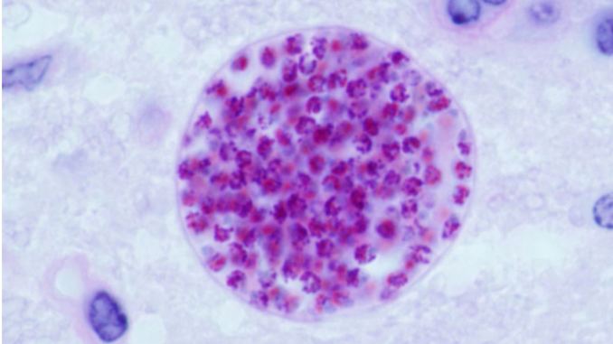
Numerosi studi testimoniano che la presenza del parassita in ambienti acquatici marini e fluviali può determinare il riscontro di Toxoplasma in alcuni mammiferi marini.
In Italia, il Centro nazionale di referenza per la toxoplasmosi (CETOX), ubicato presso l’IZS Sicilia, ha riscontrato la presenza del DNA del protozoo in diversi campioni di pesci. La presenza delle oocisti in organismi marini (pesci, gasteropodi e molluschi eduli), che rientrano nella catena alimentare di ospiti intermedi (mammiferi marini - cetacei - e acquatici, lontre, foche e dell’uomo), consente di dimostrare che i prodotti ittici destinati al consumo alimentare potrebbero, se contaminati, veicolare in maniera attiva il parassita.
Fonte